问题详情页

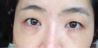
我眼睛2012年9月开的内眼角,现在又有些回缩了我眼睛2012年9月开的内眼角,现在又有些回缩了,请问我现在这种情况还需要再开内眼角吗

我眼睛2012年9月开的内眼角,现在又有些回缩了我眼睛2012年9月开的内眼角,现在又有些回缩了,请问我现在这种情况还需要再开内眼角吗?谢谢

查看全部

4条回答

  • 我适合做宽一些的双眼皮吗?

  • 这是开眼角后上妆后效果,每次化妆都要贴双眼皮!打重眼影!

  • 我两个半月 眼角有疤? 你眼角多久好的啊

  • 你好,可以内眼角修复的,