问题详情页

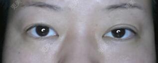
我想做修复,五年前做的切开,现在左眼怎么有点上睑下垂了。想做修复,哪家医院做得好,价格也不贵呢

我想做修复,五年前做的切开,现在左眼怎么有点上睑下垂了。想做修复,哪家医院做得好,价格也不贵呢?

查看全部

2条回答

  • 没做的时候是左单,右内双,眼皮比较肿,睁不开的感觉不强烈,有一点点。好像做完就有点。给您看看我没做时的照片

  • 可以修复,需要切除部分皮肤。